Every Minute Adds Up to Measurable ROI
InSmile™ Braces optimize for efficiency where it counts — helping practices treat more patients and unlock true ROI.
Delegate to Staff
Over 90% of tasks can be delegated to staff, freeing doctors to focus on high-value tasks and practice growth.
Increase Case Capacity
Treat more patients in the same time with efficient workflows that maximize productivity and chair utilization.
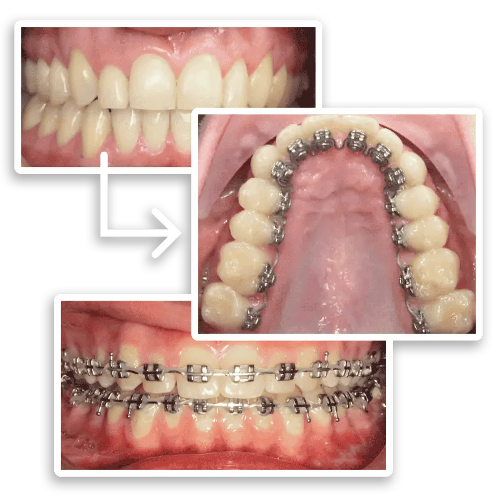
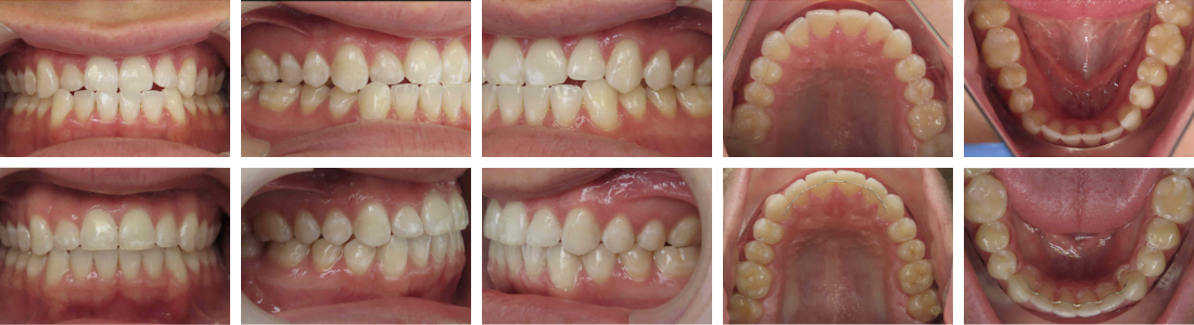
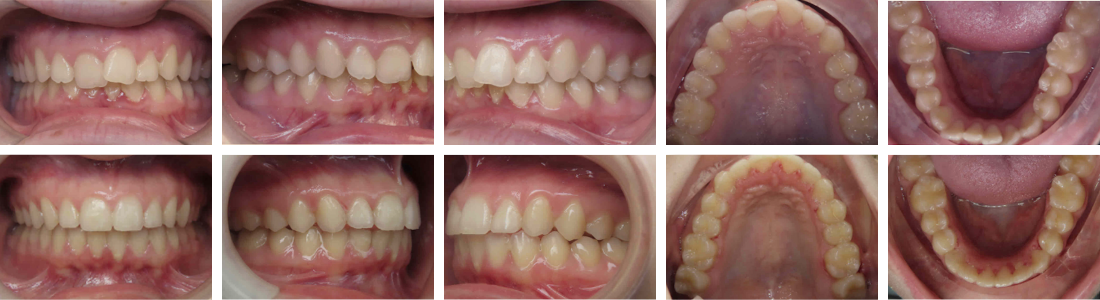
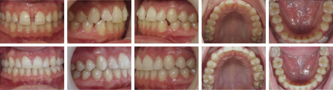
Predictable Results
Smartwire® precision delivers consistent outcomes and confidence in every case, ensuring predictable results patients love.
Increased Lifetime Value
InSmile™ Braces attract adult and professional patients who refer friends and family, creating lasting growth and higher case value.
Market Advantage
InSmile™ Braces' simple, modern system gives your practice a premium edge over outdated visible or high-maintenance options.
Patient Demand
Offering InSmile™ Braces positions your practice as a forward-thinking provider and ensures you don’t lose cases to competitors meeting this demand.




















