Key Differences
Patients often compare InSmile (hidden braces behind the teeth) with traditional options like metal braces and ceramic braces. This guide breaks down the differences amongst different categories.
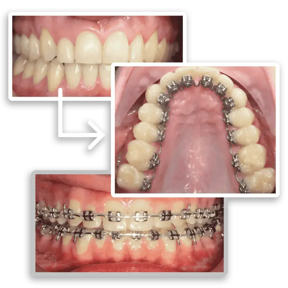
Traditional braces move teeth effectively, but InSmile™ Braces transform the experience. Our InSmile™ Braces are hidden behind the teeth, staying invisible while treatment works all day. Controlled by orthodontists and designed for modern lifestyles, InSmile™ Braces keep your smile moving forward without the look of traditional metal or ceramic braces.



Patients often compare InSmile™ Braces (hidden braces behind the teeth) with traditional options like metal braces and ceramic braces. This guide breaks down the differences amongst different categories.
InSmile™ Braces:
Braces sit behind the teeth, hidden from view
Traditional Braces:
Visible on the front of the teeth, even clear ceramic braces
InSmile™ Braces:
Uses a custom Smartwires® that reduce clinic visits
Traditional Braces:
Need more frequent adjustment appointments due to non-customized wires
InSmile™ Braces:
Has some restrictions, and brackets behind the teeth keep food off the front surfaces
Traditional Braces:
Has some restrictions, and brackets on the front of the teeth mean food can be visible during meals
InSmile™ Braces:
Curved wire allows brushing and flossing around the teeth and gums in a way that differs from traditional braces
Traditional Braces:
Brushing and flossing routines may differ for patients since brackets and wires sit on the front surfaces of the teeth
Patients often compare InSmile (hidden braces behind the teeth) with traditional options like metal braces and ceramic braces. This guide breaks down the differences amongst different categories.
Every InSmile™ Braces treatment is supervised by an orthodontist. From your first scan to your final results, you’ll have expert orthodontic care — so you can trust your smile is in the best hands of a trained professional.

Don’t wait to feel good about your smile. With InSmile™ Braces, you get discreet treatment that works around the clock — no trays to lose, no lifestyle limits, and no one has to know you’re in treatment.
Find an InSmile™ OrthodontistFind an InSmile™ Braces
orthodontist near you.
At your consultation, our doctor will walk you through your personalized treatment plan and answer every question, from timeline to results.
Can’t find an orthodontist nearby
offering InSmile™ Braces yet?
Simply ask your orthodontist if they’d be willing to bring it into their practice. Many doctors are open to new technology when patients request them.