Ready to Differentiate Your Orthodontic Practice?
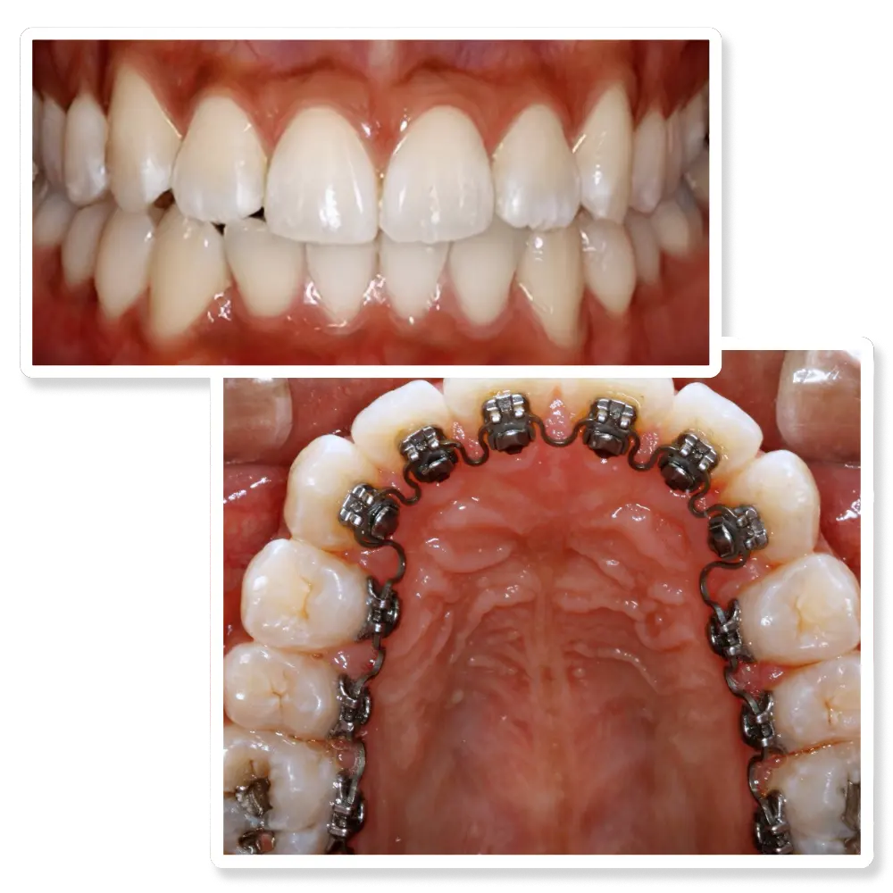
InSmile Braces are more than lingual braces — it’s a complete digital workflow that reduces chair time, improves precision, and drives patient satisfaction. By joining the InSmile Braces network, you’ll expand your treatment options, streamline staff efficiency, and position your practice at the forefront of orthodontic innovation.














